선종과 용종의 차이: 증상과 관리 방법
- 카테고리 없음
- 2025. 1. 10. 04:45
선종과 용종의 차이: 증상과 관리 방법
건강검진이나 대장내시경을 통해 "선종"과 "용종"이라는 용어를 들어본 적이 있을 겁니다. 이 둘은 모두 대장 건강에 중요한 관련이 있지만, 그 차이를 명확히 이해하는 것이 예방과 관리에 큰 도움이 됩니다. 이번 글에서는 선종과 용종의 차이, 발생 원인, 증상, 진단 및 관리 방법 등을 폭넓게 알아보겠습니다.
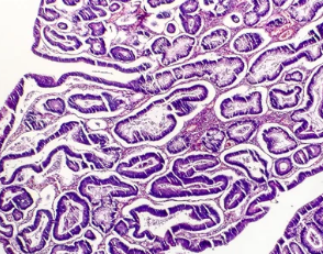
1. 선종과 용종의 정의와 차이점



선종과 용종은 대장이나 소화기관에서 나타날 수 있는 조직의 비정상적인 성장을 뜻합니다. 하지만 이 둘은 성질과 향후 건강에 미치는 영향에서 차이가 있습니다.
- 용종: 점막 조직이 비정상적으로 자라 돌출된 형태를 띠는 조직을 말합니다. 일반적으로 용종은 양성(비암성)이지만, 일부는 선종으로 발전할 가능성이 있습니다.
- 선종: 용종의 한 종류로, 암으로 진행될 가능성이 있는 전암성 병변입니다. 선종이 발견되면 제거를 통해 대장암의 발생 위험을 낮출 수 있습니다.
주요 차이점
- 암 발생 가능성: 일반적인 용종은 암 발생 가능성이 낮지만, 선종은 암으로 발전할 가능성이 높습니다.
- 형태와 구조: 용종은 다양한 형태(평평형, 줄기형 등)를 가지며, 선종은 세포의 비정상적인 변화를 동반한 조직 증식이 특징입니다.
2. 선종과 용종의 발생 원인과 위험 요인



두 조직이 발생하는 이유는 유사하지만, 세부적으로는 차이가 있습니다. 발생 원인과 위험 요인을 이해하면 예방에 도움이 됩니다.
- 유전적 요인: 가족력은 중요한 위험 요인입니다. 대장암 또는 선종의 가족력이 있다면 정기 검진이 필수적입니다.
- 식습관: 섬유질 섭취가 적고, 고지방·고칼로리 음식을 자주 섭취하면 용종 및 선종의 발생 가능성이 증가합니다.
- 흡연과 음주: 장기적인 흡연과 과도한 음주는 세포 변화를 유발해 선종의 발생 위험을 높입니다.
- 비만과 운동 부족: 비만과 운동 부족은 대장 건강을 악화시키며, 용종 및 선종 발생의 위험 요인으로 작용합니다.
3. 선종과 용종의 증상: 언제 병원을 찾아야 할까?



선종과 용종은 대개 초기에는 증상이 없기 때문에 발견이 어렵습니다. 하지만 일부 환자들은 아래와 같은 증상을 경험할 수 있습니다.
- 출혈: 대변에 피가 묻어 나오거나, 검붉은 색 대변이 관찰될 수 있습니다.
- 복부 통증: 용종이 커지거나, 장 내벽을 자극하면 복통을 유발할 수 있습니다.
- 변비 또는 설사: 대장 용종의 위치에 따라 배변 습관이 변할 수 있습니다.
- 빈혈: 지속적인 출혈로 인한 철분 결핍성 빈혈이 나타날 수 있습니다.
증상이 나타나지 않더라도 정기 검진과 대장내시경을 통해 용종과 선종을 조기에 발견하는 것이 중요합니다.
4. 선종과 용종의 진단과 치료 방법



선종과 용종은 대장내시경을 통해 주로 진단됩니다. 진단 이후에는 크기와 성질에 따라 적절한 치료가 진행됩니다.
- 대장내시경: 용종 및 선종을 직접 관찰하고, 필요시 즉시 제거할 수 있는 가장 효과적인 진단 및 치료 방법입니다.
- 조직 검사: 제거된 조직은 조직 검사를 통해 암으로의 진행 가능성을 평가합니다.
- 절제 방법:
- 작은 용종은 내시경으로 제거 가능합니다.
- 큰 용종이나 선종은 수술이 필요할 수 있습니다.
추적 관찰
- 선종이 발견되면 재발 가능성을 줄이기 위해 정기적인 대장내시경 검사가 권장됩니다. 보통 3~5년 주기로 검사를 받습니다.
5. 선종과 용종 예방을 위한 생활 습관



선종과 용종의 예방은 건강한 생활 습관에서 시작됩니다. 아래의 방법을 참고해 대장 건강을 지켜보세요.
- 균형 잡힌 식단: 섬유질이 풍부한 과일, 채소, 통곡물을 섭취하고, 가공육과 고지방 음식을 줄이세요.
- 적정 체중 유지: 비만은 대장 건강에 부정적인 영향을 미칩니다. 적정 체중을 유지하기 위해 꾸준히 운동하세요.
- 금연과 절주: 담배와 과도한 음주는 대장암과 밀접한 관련이 있으므로 이를 피해야 합니다.
- 정기 검진: 가족력이 있는 경우, 40대부터 정기적인 대장내시경 검사를 받는 것이 권장됩니다.
관련 자료와 추천 정보
- 대한소화기학회:
- 국립암센터: 암 예방과 조기 검진 관련 정보 제공
- 세계소화기학회: 최신 연구 및 가이드라인 참고 가능
선종과 용종은 초기에는 증상이 없더라도 대장암으로 진행될 수 있는 중요한 건강 신호입니다. 생활 습관을 개선하고, 정기 검진을 통해 조기에 발견하여 건강을 지켜보세요.