치주염 증상, 잇몸 피에서 시작된 위험한 경고
- 건강에 대한 흥미로운 정보들
- 2025. 6. 8. 19:38
치주염 증상, 잇몸 피에서 시작된 위험한 경고
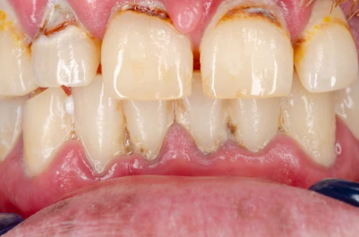
양치할 때 피가 나거나, 잇몸이 붓고 이가 흔들린다면 단순한 잇몸 염증이 아니라 **‘치주염(잇몸병)’**일 가능성이 높습니다.
치주염은 충치보다 더 조용하고 서서히 진행되며, 제대로 치료하지 않으면 결국 치아를 잃게 되는 주요 원인입니다.
특히 30대 이후부터는 잇몸 건강이 치아 건강의 핵심이 되므로, 증상을 초기에 정확히 파악하는 것이 중요합니다.
이번 글에서는 치주염에서 흔하게 나타나는 7가지 증상과, 방치 시 어떤 결과로 이어지는지까지 상세히 안내해드릴게요.
1. 양치할 때 피가 난다 – 가장 흔한 초기 신호



치주염 초기에는 잇몸에 염증이 생겨 모세혈관이 확장되며 아주 쉽게 출혈이 생깁니다.
특징 설명
| 칫솔에 피가 묻는다 | 하루에 한두 번 이상 반복 |
| 이쑤시개나 치실 사용 시 출혈 | 점점 빈도가 증가 |
| 피가 나도 통증은 거의 없음 | 대수롭지 않게 넘어가기 쉬움 |
▶ 출혈이 자주 반복되면, 단순한 잇몸 민감증이 아닌 염증성 치주 질환 가능성이 높습니다.
2. 잇몸이 붓고 붉다 – 정상적인 핑크빛이 아니다



염증이 심해질수록 잇몸은 단단함을 잃고 부풀어 오르며 붉게 변색됩니다.
- 치아 주변 잇몸이 탱탱하게 부어오름
- 밝은 분홍이 아닌 짙은 적색 또는 자주색
- 음식물 씹을 때 불편함 발생
▶ 부기와 발적(붉어짐)은 급성 치주염의 대표적인 징후로, 치료가 필요한 시점입니다.
3. 입 냄새가 심해진다 – 구취 원인의 70%는 잇몸에서



치주염은 치석과 세균 덩어리인 **치주포켓(잇몸 속 주머니)**이 생기면서
그 안에서 혐기성 박테리아가 황 계열의 가스를 만들어 냄새를 유발합니다.
상황 설명
| 아침에 심한 입 냄새 | 세균 증식 활발한 취침 중 |
| 칫솔질해도 사라지지 않음 | 뿌리 깊은 치태 잔존 |
| 타인에게 지적받는 경우도 있음 | 구강 관리 이상 신호 |
▶ 충치보다 잇몸병이 구취 원인일 확률이 훨씬 높습니다.
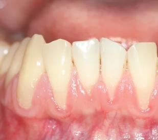
4. 잇몸이 내려가고 치아가 길어 보인다 – 잇몸 퇴축 현상



잇몸뼈가 녹아내리면, 잇몸이 치아뿌리 쪽으로 물러나면서 치아가 길어 보이는 현상이 나타납니다.
- 거울로 보면 치아가 평소보다 길게 보임
- 잇몸 경계가 울퉁불퉁하고 균일하지 않음
- 찬물 마실 때 시림이 심해짐
▶ 치아가 길어지는 건 단순한 미용 문제가 아닌 치아지지 구조 약화의 증거입니다.
5. 이가 흔들린다 – 이미 진행된 중등도 이상 치주염



정상적인 치아는 손으로 흔들어도 거의 움직이지 않습니다.
하지만 치주염이 심해지면 **치아를 고정하던 잇몸뼈(치조골)**가 파괴되면서 치아가 실제로 흔들리기 시작합니다.
형태 설명
| 손가락으로 만지면 움직임 감지 | 불안정한 느낌 |
| 씹을 때 치아가 뒤틀리는 느낌 | 통증 동반 가능 |
| 어금니보다 앞니에서 먼저 느껴짐 | 말할 때 발음 이상 발생 |
▶ 이 시점까지 오면 스케일링만으로는 회복이 어렵고, 잇몸 수술이나 발치까지 고려해야 합니다.
6. 고름이 나온다 – 잇몸 안쪽에 고름 주머니 형성
염증이 깊어지면 잇몸 속에서 고름이 생성되며, 압박 시 흰색 또는 노란색 분비물이 나올 수 있습니다.
- 잇몸이 부어 있고 누르면 고름 배출
- 냄새가 심하고 쓴맛 동반
- 고름이 자주 터지며 통증 반복됨
▶ 치근단 농양, 치주농양으로 이어질 수 있어 즉각적인 치료가 필요합니다.
7. 음식물이 자주 끼고, 잇몸 사이 공간이 벌어진다
잇몸이 내려가면서 치아 사이의 삼각형 틈(치간공간)이 넓어지고,
거기에 음식물이 자주 끼면 2차 세균 번식이 빠르게 일어납니다.
증상 설명
| 치실을 안 하면 하루 종일 껴 있음 | 입냄새 유발 |
| 씹을 때 자극적이고 불편함 | 잇몸 통증 동반 |
| 치아 사이가 헐렁하게 느껴짐 | 구조 약화 신호 |
▶ 이물감이 심해질수록 치주염 진행이 더 빨라질 수 있습니다.
✅ 이런 경우, 스케일링만으로는 부족합니다
증상 치료 범위
| 피가 자주 나고, 붓고 통증 있음 | 치석 제거(스케일링) |
| 잇몸이 내려가고 치아가 흔들림 | 치근면 소파술 또는 잇몸 수술 |
| 고름, 심한 냄새, 시림 동반 | 항생제·정밀 치주치료 |
▶ 정기 스케일링도 예방이지만, 치료가 필요한 상태일 수도 있다는 점을 기억하세요.
'건강에 대한 흥미로운 정보들' 카테고리의 다른 글
| 고혈압 원인, 체질 탓만 하기엔 너무 위험한 진실 (3) | 2025.06.08 |
|---|---|
| 과민성 방광의 증상, 단순한 잦은 소변이 아닙니다 (1) | 2025.06.08 |
| 각막염 증상, 눈이 보내는 통증의 경고 신호 (2) | 2025.06.08 |
| 당뇨에 좋은 차, 혈당 관리를 돕는 자연 속 한 잔 (1) | 2025.06.07 |
| 비타민C 과다복용 부작용, 매일 먹는 영양제가 독이 될 수 있다? (0) | 2025.05.27 |